Ir al contenido
Acerca
Autores
Contacto
Privacidad
Aviso Legal
Cookies
Ley GDPR / RGPD
UNESCO
Acerca
Autores
Contacto
Privacidad
Aviso Legal
Cookies
Ley GDPR / RGPD
UNESCO
Facebook-f
Twitter
Noticias
Mercado
Salud
Legalización
Estilo de vida
Noticias
Mercado
Salud
Legalización
Estilo de vida
Noticias
Mercado
Salud
Legalización
Estilo de vida
Noticias
Mercado
Salud
Legalización
Estilo de vida
Salud
30 noviembre, 2023
Legalización
28 noviembre, 2023
Salud
22 noviembre, 2023
Noticias
21 noviembre, 2023
noviembre 2023
Salud
30 noviembre 2023
EDITORIAL
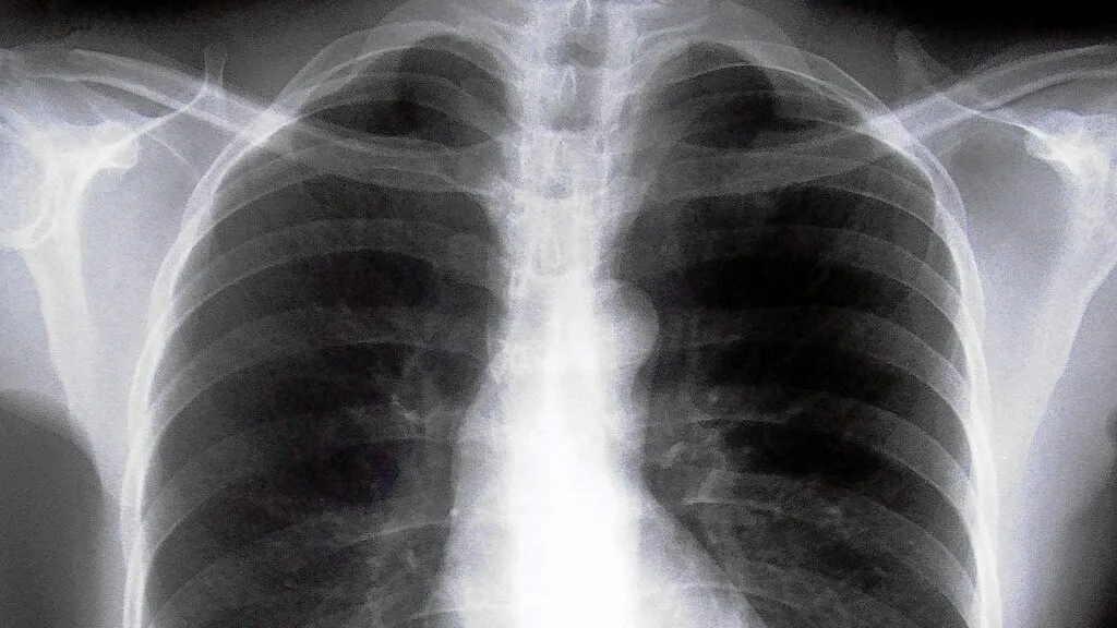
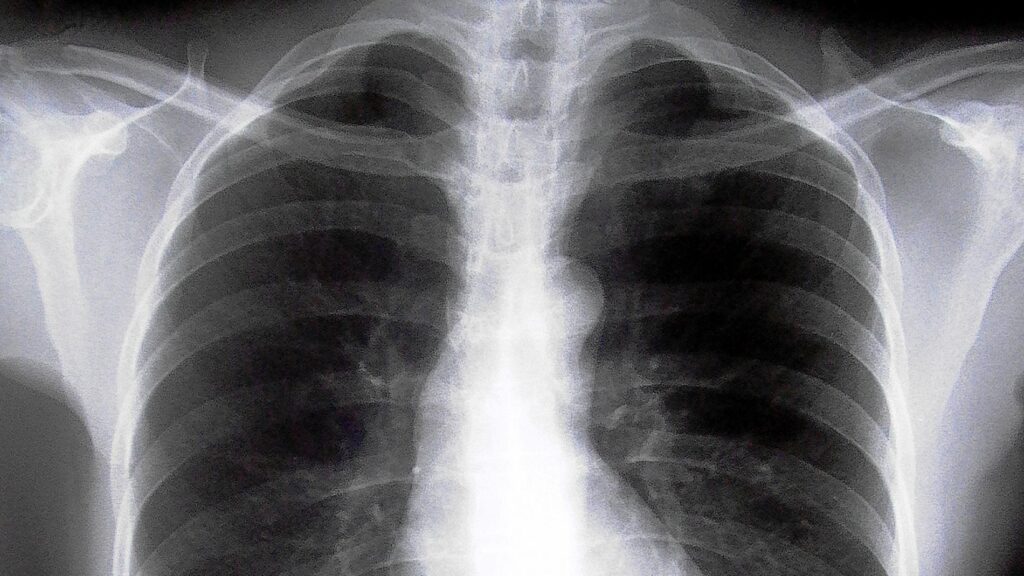
Las personas que fuman marihuana junto con cigarrillos están causando un daño grave a sus pulmones, advierte...
Leer Mas
Legalización
28 noviembre 2023
EDITORIAL
El Gobierno de Alemania prevé que el cultivo doméstico y la posesión de ciertas cantidades de cannabis...
Leer Mas
Salud
22 noviembre 2023
EDITORIAL
La genética podría explicar por qué algunas personas no pueden dejar de fumar marihuana, según un nuevo...
Leer Mas
Noticias
21 noviembre 2023
EDITORIAL
Un estudio a gran escala, con datos de más de un millón de pacientes de cuatro continentes, ha constatado...
Leer Mas
Salud
15 noviembre 2023
EDITORIAL
Un equipo de investigación del Instituto Leloir está desarrollando una herramienta informática innovadora...
Leer Mas
Noticias
15 noviembre 2023
EDITORIAL
Derivado del robustecimiento de las labores de vigilancia en la capital, el gobierno de Sergio Salomón,...
Leer Mas
No posts found
Paginación de entradas
1
2
Recientes
Opioides: qué son, ejemplos y para qué sirven
Falta de regulación del cannabis podría disparar mercado negro
Madres de niños que usan cannabis medicinal piden acelerar regulación
Sustituyen medicamentos tradicionales por cannabidiol
Vendían aceites y comestibles de cannabis por redes sociales
Marihuana puede afectar la fertilidad masculina
No posts found
Usamos cookies para asegurar que te damos la mejor experiencia en nuestra web. Si continúas usando este sitio, asumiremos que estás de acuerdo con ello.
Aceptar